

Primary Bone Cancer:
There are 3 main types of primary bone cancer / sarcoma:
Osteosarcoma
Bone forming tumours
Chondrosarcoma
Cartilage forming tumours
Ewings Sarcoma
Small round blue cells growth in bone and soft tissues
For more information, please visit:


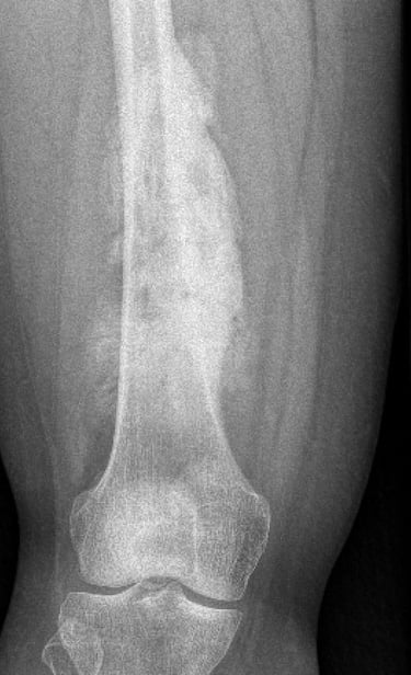
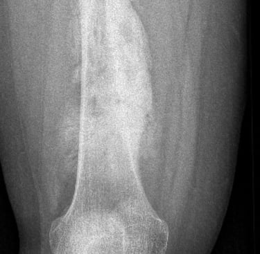
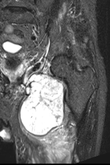
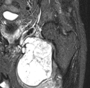
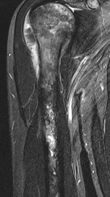
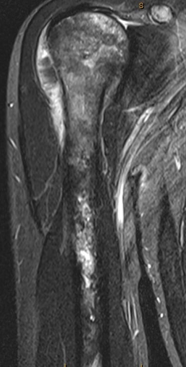
Osteosarcoma:
Osteosarcoma is the most common between the ages of 10 to 30 and those > 60 years old. There is no known cause in majority of patients but certain factors are known to increase your risk eg. previous radiotherapy, paget's disease, fibrous dysplasia, bone infarcts or Li Fraumeni syndrome. Most occur around the knee but can occur in any bone. Treatment generally involves combination of chemotherapy and surgery.
Diagnosis of this is generally made with Xrays, CT, MRI, PET scans and a core needle biopsy.


Chondrosarcoma:
This is the second most common type of primary bone cancer, particularly over the age of 40. It often develops from normal cartilage cells or may occur in patients with pre-existing benign cartilage tumours eg. enchondromas, multiple osteochondromas, Ollier or Maffucci syndrome. Most occur in the femur, humerus, pelvis and around the knee but can occur in any bone. Most patients are treated with surgery alone as these are generally not responsive to chemotherapy or radiotherapy.
Diagnosis of chondrosarcoma can be very challenging. These can range from low grade (grade1) to high grade (dedifferentiated) and diagnosis often require a number of tests. Biopsies are often not recommended as these tumours are difficult to differentiate histologically. Diagnosis is generally made clinically and radiologically.


Ewings Sarcoma:
Ewing's sarcoma is the second most common bone cancer in children and young adults. There is no known cause but has a characteristic change in the cells' chromosome which is not inherited. It is most common in long bones but can occur in any bone. This tumour is generally treated with combined chemotherapy, surgery and occasionally with radiotherapy.
Similar to osteosarcoma, diagnosis of this condition is generally made with Xrays, CT, MRI, PET scans and a core needle biopsy.
MANAGEMENT:
Management of these tumours is quite complex and requires specialist management involving a team of experienced clinicians (Orthopaedic oncology surgeon, Radiation oncologist, Medical Oncologist and Plastics Reconstructive surgeon).
Surgery is the mainstay of treatment and requires resection of the sarcoma with a cuff surrounding healthy tissue to ensure the tumour has been completely excised.
Plastics surgeons assist with reconstruction of the defect and to restore loss function.
Radiotherapy may be considered, particularly given most sarcomas are sensitive to radiation therapy. This can be given before or after surgery depending on a number of factors that your surgeon with discuss with you.
Chemotherapy is not routinely used in soft tissue sarcomas. It is, however, considered depending on the patient and certain types of sarcoma.